McMurray Dental Care

Dentures

Dentures

Dentures are replacements for missing teeth that can be taken out and put back into your mouth. While dentures take some getting used to, and will never feel exactly the same as one’s natural teeth, today’s dentures are natural looking and more comfortable than ever.

Conventional Full Denture

A conventional full denture is placed in your mouth after any remaining teeth are removed and tissues have healed. Healing may take several months, during which time you are without teeth.

Immediate Full Denture

An immediate full denture is inserted immediately after the remaining teeth are removed. (We will take measurements and makes models of your jaw before teeth are extracted.) While immediate dentures offer the benefit of never having to be without your teeth, they must be relined several months after being inserted. The reason is that the bone supporting the teeth reshapes as it heals, causing the denture to become loose.

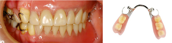
Partial Dentures

Traditional Partial Denture

Traditional removable partial denture consists of a metal framework with plastic teeth and gum areas. The framework includes metal clasps or other attachments that hold the denture in place. Because the metal bands showing next to the gum-line, the denture is not only unappealing, but also uncomfortable to wear.

Valplast partial denture

We prefer Valplast dentures for our patients. Flexible Valplast dentures are a nylon thermo-plastic, light, flexible and comfortable to wear. Instead of unsightly wire or metal clasps that actually damage your teeth, and need frequent adjusting, Valplast flexible nylon partial dentures clip to the gum instead of the teeth.

The base is almost indestructible, extremely thin, and actually reduces bone resorption (natural reduction of unused bone)